得了肺结节必须做手术吗?名医贾宁有奇招!
主要介绍了做好得了肺结节必须做手术吗?名医贾宁有奇招!相关的知识,希望对你有一定的参考价值。
得了肺结节必须做手术吗?名医贾宁有奇招!
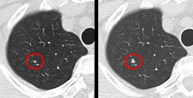
随着人们健康意识的提高,对肺癌早查早治的认识。胸部CT检查逐渐在中国得以广泛的开展,也因此越来越多人在检查中,被发现有为症状的“肺部小结节”。发现的直径在10 毫米左右的结节病变。在临床中,一般把小于7毫米的结节叫做微小结节,而3毫米以下的结节叫做微结节。
为什么会患有肺结节?西医上肺结节的病因尚不明确。而在中医上讲,肺结节往往是痰气交阻、气滞痰凝血瘀,痰毒互结所致。所以有的患者会有多个结节,有的患者会有单颗结节,就像一块质地不好的土地,会长出几枝荆棘,有大有小,有时置之不顾也不伤大雅,有时放任生长则会后患无穷。

得了肺结节怎么治?
借助前面的例子,西医上会将不需要的荆棘拔掉,但拔掉后难免会再长,还可能会留下坑穴,而中医治疗是以整体全局出发,多维度诊疗,治标的同时,更要治本。“调”理的同时,结合个人具体指证表象,对症调理、辩证施治,将整体“体质循环”养调顺畅。
贾宁老膏方已帮众多患者摆脱老肺病
“中医认为:呼吸疾病是一种肺虚症,老咳喘,老慢支、肺结节病人问题就在肺液。”贾宁教授经过40余年研究,在祖传验方基础上结合现代科技研制出治疗呼吸系统疾病的特色膏方,已帮助众多患者摆脱死亡威胁。此膏方内含延胡索、甘遂等40多味药材,服用后,其浓缩的药物成分作用于病灶部位,减少肺部病菌、炎症、修复肺泡,还能温补肺液,有效松弛气管、支气管平滑肌,修复受损组织粘膜,重建机体治疗机制,从而有效治疗呼吸系统疾病。
子承父业,德字为先
贾堃是贾氏中医的创立者,我国著名中医肿瘤学家。上世纪90年代,被选入中国近百年百名著名中医之列,是陕西省率先获得这一殊荣的中医专家,也是陕西中医学界的重要人物。贾宁身为贾堃之子,陕西贾堃肿瘤研究所所长,自幼便随其父贾堃学医,子承父业,挑起贾氏家族的大梁,潜心于肿瘤疾病的医治与研讨,他认为:做医生最重要的是一个“德”字,患者把身家性命都托付给你,你唯一能做的,就是把病人的病痛当成自己的病痛。
贾宁教授也提醒广大患者,一旦发现患有肺结节,不要过于担心,也不要掉以轻心,莫讳疾忌医,也不要病急乱投医,请专业的医生来帮助治疗,患者谨遵医嘱,病情得到控制、稳定不是梦!一定要选择正规、专业的医院机构进行治疗,以确保您的个人安全及其效果。西安莲湖秦华中医医院为二级甲等中医医院,省、市医疗保险的定点单位。陕西知名中医专家坐诊“一人一方,辨证施治”,如果您还有什么疑问,可以拨打我院的咨询热线:400-809-7120进行免费一对一咨询,我们将竭诚为您的健康负责。
相关参考
外国首脑健身各有奇招
<br>布什:总统级“阿甘”<br> 在跑步锻炼方面,布什堪称是美国人的楷模。他毫不厌倦,身体力行。迄今为止,他跑1英里的个人最好成绩是6分45秒,这是去年感恩节他在
医学专家治疗发烧中暑有奇招
气温骤升,中暑病人初现!记者从急诊科获悉,近几日,已开始有中暑病人来看急诊,平均每天一两个。中暑患者提前一个月出现1日,市区最高温34.6℃;2日35℃,加上阵雨湿气,闷热难耐。气象台预测,未来3天广
医学专家治疗发烧中暑有奇招
气温骤升,中暑病人初现!记者从急诊科获悉,近几日,已开始有中暑病人来看急诊,平均每天一两个。中暑患者提前一个月出现1日,市区最高温34.6℃;2日35℃,加上阵雨湿气,闷热难耐。气象台预测,未来3天广
维医治疗白癜风有奇招
白癜风是由于原发性皮肤脱色性病变而形成的局限性或泛发性白色斑片,它是由于皮肤和毛囊内的黑色素细胞内酪氨酸酶活性减低或消失,导致黑素颗粒(即黑素体)生成的进行性减少或消失而引起的局限性或泛发性脱色素性病
数钱可以“镇痛”还减压 心理减压有奇招
目录:第一章:心理惊奇:数钱能镇痛减压?第二章:心理解读:哭泣减压到底好不好第三章:让心理减压也变成最浪漫的事!心理健康问题,作为一个全球性的问题,已随着人类逐步迈进现代社会而日益凸显出来。那我们就来
中医治疗过敏的有奇招 花粉过敏怎么办
在春夏之际,万物生长、生机盎然,周围一片花团锦簇的繁荣景象。但是有些过敏体质的人在了这个时候简直就是人间地狱,因为一不小心就会造成花粉过敏的状况。花粉过敏这么办呢?中已有几个治疗的偏方。一:蜂蜜防过敏
体检结果发现“肺结节”,我是得了肺癌吗?
每年的健康体检都会有一些人发现肺部上长了结节,大多数患者在日常生活中没有任何症状,既不咳嗽也不胸痛,只会偶尔有很轻微的不适感。那么这种情况要紧吗?是良性结节还是恶性肿瘤?根据临床数据显示,大概两成的健
乳腺结节需要做手术吗?怎么选择乳腺结节治疗方法
乳腺结节需要做手术吗?乳腺疾病的出现不仅影响着女性的身体健康,对心理上也是一个很大的折磨,处处带给女性困扰。因此女性朋友迫切想要摆脱乳房疾病,而乳腺结节需不需要做手术,也一直让她们难以抉择,如果不手术
乳腺结节必须要切除吗
女人的天性应该就体现在乳房吧,它可以孕育孩子的成长,然而乳房也是比较容易患病的地方,如果脾气暴躁爱生气对乳房也会造成一定的伤害,久而久之乳腺疾病就会追随而来,那么乳腺结节必须做手术切除吗,如果乳腺结节
乳腺结节必须要切除吗
女人的天性应该就体现在乳房吧,它可以孕育孩子的成长,然而乳房也是比较容易患病的地方,如果脾气暴躁爱生气对乳房也会造成一定的伤害,久而久之乳腺疾病就会追随而来,那么乳腺结节必须做手术切除吗,如果乳腺结节
相关参考
西安治疗支气管扩张医院:秦华贾宁—贾氏中药膏方什么是支气管扩张?西安莲湖秦华中医医院贾宁讲:支气管扩张是由于支气管及其周围肺组织慢性化脓性炎症和纤维化,使支气管壁的肌肉和弹性组织破坏,导致支气管变
西安莲湖秦华中医医院张立杰:慢性胃炎如何调理慢性胃炎是指由不同病因所致的胃粘膜慢性炎症。比较常见的是慢性浅表性胃炎和慢性萎缩性胃炎。其主要临床表现为食欲减退、上腹部不适和隐痛、嗳气、泛酸、恶心、呕
西安治疗肺结节的医院哪家好些?西安莲湖秦华中医医院西安莲湖秦华中医医院是被确定为“西安市医保定点医院”“百姓放心医院”“消费者信得过医院”“中医膏方特色医院”医院坚持以“中医为主、西医为辅”,长期
西安莲湖秦华中医医院如何治疗痔疮?中西医优势结合痔疮手术西安哪家医院好?痔疮不像是感冒会自己治疗,痔疮是因为静脉曲张而引起的,早期可以通过药物治疗好,但是到了晚期的话就必须进行手术治疗。那痔疮手术
西安莲湖秦华中医医院——全国中医肛肠学科宋继刚名医工作室宋继刚名医工作室是一个为患者解忧的平台,工作室的专家在宋继刚主任的带领下,均为临床诊疗经验丰富的肛肠名医轮流坐诊,既带给患者便利,又能从根本
得了肺结节必须做手术吗?名医贾宁有奇招!随着人们健康意识的提高,对肺癌早查早治的认识。胸部CT检查逐渐在中国得以广泛的开展,也因此越来越多人在检查中,被发现有为症状的“肺部小结节”。发现的直径在1
右上肺支气管扩张应该怎么治疗右上肺支气管扩张是呼吸道感染当中比较常见的一种,一般多发于中老年人或者是儿童,由于身体的抵抗力比较差,在冬季被冷空气一刺激,就会发生这种情况,如果出现这种病症的话,应该
西安中医治疗肺部肿瘤医生—西安莲湖秦华医院贾宁医生,我被查出了肺部有个肿瘤,那是不是就是肺癌啊?在这个“谈癌色变”的时代,相信很多人都有这样的担心。有些人还由于过度担心,对生活失去了希望而轻生。这
西安莲湖秦华中医医院:肛门为何长包?出现肛门包块该怎么治?肛门周围长包一般不会有人去在意,所以基本上发现的时候都是在洗澡或者上厕所的时候。那肛门为何长包呢?长包该如何治疗呢?下面听西安莲湖秦华中医